Philippe Vasseur a été hospitalisé sous oxygène à Paris pendant 13 jours, puis renvoyé à domicile sans recommandations. Trois semaines plus tard, alors qu’il tente de rééduquer seul sa respiration, il raconte la persistance des symptômes pour alerter sur la nécessité d’informer médecins et patients.
Le Dr Vasseur, médecin hospitalier dans l’unité médico-judiciaire de l’Hôtel-Dieu à Paris - où il reçoit notamment les victimes de coups et de viols - pense avoir contracté le Covid-19 dans l’exercice de ses fonctions. A 64 ans, avec un poids de jeune homme, il ne présente, insiste-t-il, aucune des comorbidités fréquemment citées: ni obésité, ni diabète, ni hypertension. Il se dit sportif. Le 13 mars, il ressent les symptômes habituellement décrits - toux sèche, petit rhume, grande fatigue - sans réaliser qu’il est aussi essoufflé. Le 20, alors que sa fièvre est élevée - jusqu’à 41.7°- et que son épouse inquiète suggère d’appeler le 15, il mesure sa fréquence respiratoire en posant simplement sa main sur sa poitrine: il compte alors 20 à 22 respirations par minute (contre 10 à 15 en fréquence normale).
Un moyen simple et efficace qui le pousse à sortir d’une forme de déni, reconnaît aujourd’hui le médecin. Je me disais encore que j’allais bien. L’essoufflement est un signe de gravité qu’il est parfois difficile de mesurer en raison de la grande fatigue ressentie, décrypte-t-il.
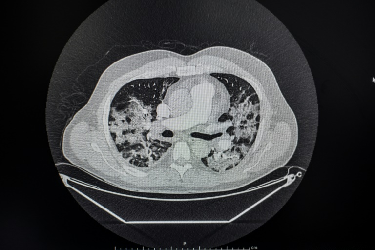
Transporté par le Samu à l’hôpital Cochin, il passe un scanner qui témoigne de lésions pulmonaires, le test nasal PCR confirme qu’il est positif au Covid-19: après une nuit aux urgences, le médecin est transféré en pneumologie et installé sous oxygène, avec un traitement antibiotique d’azythromycine. Le 28 mars, la fièvre restant élevée, les médecins suspectent une embolie pulmonaire et prescrivent un angioscanner - accompagné d’une injection de produit révélateur dans les vaisseaux - qui écarte cette inquiétude. La fièvre finit par tomber. La fameuse vague, redoutée par les soignants, déferle sur l’Ile-de-France après avoir frappé le Grand Est: les bilans explosent, la France compte déjà plus de 5.500 morts et frôle les 7.000 patients en réanimation. La toux persiste, la douleur thoracique aussi, ainsi que des frissons et des tremblements, six à sept jours après avoir quitté l’hôpital. Trois semaines après sa sortie de Cochin, le Dr Vasseur énumère les symptômes qui persistent:
Le matin (parce que la position allongée est très mauvaise pour respirer, ndlr), je ressens une pesanteur importante sur la poitrine. Depuis une dizaine de jours, je dors encore sur deux oreillers - au lieu de trois. Je ne peux pas respirer à fond. Je suis toujours très fatigué, essoufflé pour parler. Je n’ai plus de fièvre mais des suées nocturnes qui m’obligent à changer de tee-shirt deux à trois fois par nuit.
Les rares kinés qui ont pu reprendre leur exercice sont mobilisés par les patients sortis de réanimation. Pour le Dr Vasseur, le patient est laissé un peu à lui-même quand il n’est pas passé par un service de réanimation. Raison pour laquelle il a souhaité partager son expérience.





![[Puy-de-Dôme] L’entreprise 2CA fabrique un masque FFP2 réutilisable](../wp-content/uploads/2020/04/LVMH-Bouygues-PSA-Les-dons-de-masques-se-multiplient-pour-pallier-la-penurie-190x122.jpg)






![[Green Deal] Quel monde voulons-nous rebâtir après le Covid-19 ?](../wp-content/uploads/2020/04/earth-1617121_1920-90x60.jpg)
![[Green Deal] Quel monde voulons-nous rebâtir après le Covid-19 ?](../wp-content/uploads/2020/04/earth-1617121_1920-180x120.jpg)



![[Actus TV] De Livourne au Val d'Orcia, escapades culinaires en Toscane](../wp-content/uploads/2020/04/kitchen-972934_1920-90x60.jpg)
![[Actus TV] De Livourne au Val d'Orcia, escapades culinaires en Toscane](../wp-content/uploads/2020/04/kitchen-972934_1920-180x120.jpg)
![[Actus TV]](../wp-content/uploads/2020/04/Screenshot_20200427-153058_ARTE-90x60.jpg)
![[Actus TV]](../wp-content/uploads/2020/04/Screenshot_20200427-153058_ARTE-180x120.jpg)









![[Bourgogne de Vigne en Verre] Domaine Bitouzet Prieur: une exigence, une démarche aussi](../wp-content/uploads/2020/04/29-521-20130627_3834-90x60.jpg)
![[Bourgogne de Vigne en Verre] Domaine Bitouzet Prieur: une exigence, une démarche aussi](../wp-content/uploads/2020/04/29-521-20130627_3834-180x120.jpg)
![[Bourgogne de Vigne en Verre] Au Domaine Jean Chauvenet, finesse et fraîcheur du Pinot noir](../wp-content/uploads/2020/04/29-445-20130906_0860-90x60.jpg)
![[Bourgogne de Vigne en Verre] Au Domaine Jean Chauvenet, finesse et fraîcheur du Pinot noir](../wp-content/uploads/2020/04/29-445-20130906_0860-180x120.jpg)


![[Bourgogne de Vigne en Verre] Au Domaine Chofflet-Valdenaire, vins et discrétion](../wp-content/uploads/2020/04/29-113-20130704_6111-90x60.jpg)
![[Bourgogne de Vigne en Verre] Au Domaine Chofflet-Valdenaire, vins et discrétion](../wp-content/uploads/2020/04/29-113-20130704_6111-180x120.jpg)


![[Cyclisme] La Vuelta 2020 ne partira pas des Pays-Bas (officiel)](../wp-content/uploads/2020/04/6e959046654fb608287fd99c3678eafa42cebf23-90x60.jpg)
![[Cyclisme] La Vuelta 2020 ne partira pas des Pays-Bas (officiel)](../wp-content/uploads/2020/04/6e959046654fb608287fd99c3678eafa42cebf23-180x120.jpg)


![[Disparition] Robert Herbin, le](../wp-content/uploads/2020/04/1ddd153d80ae8a75fe94e77ddf654f94d396e6d4-90x60.jpg)
![[Disparition] Robert Herbin, le](../wp-content/uploads/2020/04/1ddd153d80ae8a75fe94e77ddf654f94d396e6d4-180x120.jpg)